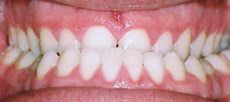
什麼是戽斗?簡單說就是下排前牙蓋住上排前牙,也就是門牙反咬。


戽斗不好嗎?當下巴比鼻子還突出,會覺得鼻子塌,臉型不夠立體,不過這還是美觀而已,其實鼻子塌就表示鼻子功能低下。
一直以來都認為戽斗是遺傳,沒什麼好說的,要處理就是外科手術。
不過已知的研究發現,與其說是下巴發育太長,其實應該是認為上顎骨發育不好。
也就是說,臉的凹凸是相對的,覺得下巴長,是因為鼻子不夠挺,鼻子一挺出來,就不會覺得下巴凸出來。
早期在處理戽斗的確是以下巴發育過好的這個觀念去處理,於是要求患者整天戴著壓下巴的面帶,後來發現這方法不但無法抑制下巴的生長,還造成顳顎關節的問題,所以這方法現在已經不用了。

那戽斗是怎麼形成的?遺傳還是佔一部份的因素,其他就是不良的咀嚼習慣與吞嚥,不良的肌肉動作,不良習慣等等的後天因素,這一些不良原因鼓勵下顎生長,抑制上顎生長,所以造成戽斗。
孩子還小的時候,因為一些不良原因使下門牙蓋住上門牙,這個現象會使的上顎骨無法好好發育,隨著時間小朋友的臉部漸漸發育,但上顎骨一直被扣著,無法好好發育,直到過了青春期骨頭發育定型了,這時就成了下巴凸,鼻子塌的臉型。
所以門牙反咬的小朋友,要處理戽斗的問題,愈早愈好,牙醫能做的就是想辦法除去阻礙上顎骨發展的因素,像是不良吞嚥或舌位,而更進一步地想辦法促進上顎骨的發育,例如上顎骨擴張,搭配反向面弓,等等方法。愈接近青春期,愈要用更積極的方法,盡快在骨發育結束前趕上進度。
這麼一來,不僅臉部外觀得以改善,鼻功能與咀嚼也能變好。

相關連結:肌功能矯正
