
什麼?這麼整齊也要肌功能矯正?
根據研究,乳牙到了4~5歲,如果乳牙排列完全沒有縫隙,將來恆牙有80%的機會會擁擠,無法排列整齊。
這麼說好了,恆牙比乳牙大,如果5歲時,牙弓沒有為了馬上到來的恆牙預留空隙,那鐵定無法好好排整齊。
會發生這樣的問題,原因很多,除了基因的影響,這個世代普遍會發生這樣的情況,其實從剛出生親餵,瓶餵就有差別了,再加上吃的食物都偏軟,咀嚼力不夠,顎骨發育不足造成的,還有像是不良吞嚥習慣,不好的舌位,甚至口呼吸。
治療的重點還是肌功能治療的原則,找出問題所在,處理問題。
預防重於治療,及早介入肌功能治療,愈早,效果越好。
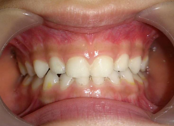
觀察小朋友,是否吃飯都很慢,常常一般的肉塊咬一咬就說吞不下去要吐出來?以上圖這個小朋友,6歲,雖然還沒有看見亂,但以預防的角度來說,要鼓勵小朋友多咀嚼,多刺激顎骨發育。
但如果下面門牙換了3~4顆,很明顯看到擠在一起,這個最好就開始肌功能矯正治療了。
很多家長會以為是乳牙拔太慢,所以才亂的。不是!!!跟早拔晚拔無關,空間夠有位置,自己會排整齊,位置不夠,再說一遍,像前面提到的,乳牙間毫無空隙,恆牙比乳牙大,沒預留足夠的空間,早拔晚拔都一樣,位置不夠怎麼整齊?



